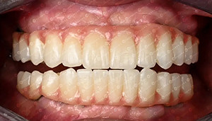
กรณีลูกค้า กล่องซิรคอนีย์ 4 มิติ
พิมพ์ในวันที่: August 29, 2024
เจ้าของเครื่อง: อีวายโล่ ดิมิตรอฟ จากบัลแกเรีย
วัสดุ: Yucera 4D Pro Multilayer Zirconia Disc
สี: A1
พิมพ์ในวันที่: August 29, 2024
เจ้าของเครื่อง: อีวายโล่ ดิมิตรอฟ จากบัลแกเรีย
วัสดุ: Yucera 4D Pro Multilayer Zirconia Disc
สี: A1
ฝากข้อความ
เราจะติดต่อกลับไปในเร็วๆ นี้!
ข้อความของคุณต้องมีระหว่าง 20-3,000 ตัวอักษร!
กรุณาตรวจสอบอีเมลของคุณ!
ข้อมูลเพิ่มเติมช่วยให้การสื่อสารดีขึ้น
ส่งสำเร็จแล้ว!
เราจะติดต่อกลับไปในเร็วๆ นี้!
ฝากข้อความ
เราจะติดต่อกลับไปในเร็วๆ นี้!
ข้อความของคุณต้องมีระหว่าง 20-3,000 ตัวอักษร!
กรุณาตรวจสอบอีเมลของคุณ!